
Кавернозная гемангиома – диагноз, с которым нередко сталкиваются дети или сразу после рождения, или в течение первого года жизни. Постараемся разобраться, что это за заболевание, как чаще всего локализуется, может ли пройти само и может ли перейти в злокачественную опухоль?
Кавернозная гемангиома – это врожденная патология, которую ученые дифференцируют как патологическое разрастание стенок сосудов с образованием полостей(каверны). Фактически, гемангиома представляет собой доброкачественную, а не злокачественную опухоль, но все же она требует своевременного лечения.
Причины возникновения заболевания
Природа патологии – в сбое морфологии сосудов во время внутриутробного развития плода. Наблюдается неправильная закладка кровеносной системы.
Спровоцировать развитие заболевания могут:
-

Многоплодная беременность;
- Тяжелые роды;
- Родовая травма;
- Интоксикация;
- Недоношенность;
- Поздняя беременность;
- Проблемы с плацентой, эклампсия;
- Болезни в период беременности;
- Экология, курение беременной.
Совершенно уверенно можно утверждать, что кавернозная гемангиома не является наследственным заболеванием, то есть не передается по наследству.
Опасность развития кавернозная гемангиома
Серьезную опасность несут образования, расположенные рядом с физиологическими отверстиями на слизистых оболочках:
- Наружный слуховой проход;
- Глаза;
- Полость рта;
- Область половых органов или заднего прохода.
При разрастании образования могут нарушать работу органов и вызывать тяжелые последствия – глухоту или слепоту.
Другая опасность ─ возникновение обильных кровотечений в случае повреждений поверхности опухолей. Они появляются в местах с повышенной травматизацией:
- Зона декольте;
- Плечи и шея;
- Живот (травмы от ремня);
- У женщин это сдавливаемая бюстгальтером область вокруг груди.

У страдающих диабетом людей в пожилом возрасте повреждение гемангиомы чревато инфицированием раны, образованием язв. Вылечить такое осложнение очень непросто.
Когда опухоль расположена на печени, ее разрыв (как следствие травмы или спонтанный) спровоцирует внутреннее кровотечение. Причем, так как состоит печень из огромного количества сосудов, то в случае кровотечения остановить данный процесс очень трудно.
Классификация гемангиом
Новообразования классифицируются по степени локализации. Классификация включает следующие виды гемангиом:
Существует также вторая классификация – по типу сосудов, изменяющихся в процессе развития новообразования:

Капиллярная гемангиома. Встречается примерно у 90% пациентов с гемангиомой. Гемангиома образуется из стенки капилляров, а иногда рассасывается самостоятельно.
Не зависимо от типа заболевания, следует немедленно обратиться к врачу для определения оптимального курса лечения.
Видео по теме
Стадии развития патологии
Как показали клинические наблюдения, подавляющая часть гемангиом проходит следующие стадии развития:
Первые симптомы патологии

Человек или рождается с гемангиомой, или она появляется на первых неделях либо месяцах жизни. Часто местом локализации является кожа головы. Наблюдается поражение ушных раковин, лица, шеи и кожи под волосяным покровом. Несколько реже гемангиома появляется на руках, животе, спине.
Если рассматривать опухоль в увеличенном виде, можно заметить разросшиеся сосуды, сплетенные в клубки. У опухоли пещеристая структура, выступающая над кожей, так что всегда существует вероятность повреждения поверхности.
Среди ранних симптомов можно отметить появление красных точек, пятен и царапин на коже, причем их происхождение не обусловлено бытовой травмой. Новообразования имеют тенденцию расти с разной интенсивностью.
Зрелые симптомы патологии
К зрелым признакам заболевания можно отнести следующие:

Гемангиома безболезненна, а также очень васкуляризована (высокая насыщенность кровеносными сосудами). Если надавить, то гемангиома бледнеет и уменьшается в размерах из-за оттока крови. Потом она возвращает прежний вид. При физическом напряжении и во время кашля она, наоборот, приобретает яркую окраску и увеличивается.
Крайне редко подобная опухоль встречается на внутренних органах: почки, печень, селезенка, головной мозг. Протекает развитие новообразований без симптомов. Показанием к УЗИ является наличие кожных гемангиом в количестве 3 – 6 штук и более.
Современное лечение
Диагностируется кавернозная гемангиома клинически, диагноз ставится на основе отмеченных симптомов.
Показанием к началу лечения являются угрозы:
- Постоянная травматизация;
- Поражение глаза;
- Поражение слухового аппарата;
- Риск внутреннего кровотечения.
Гемангиома у новорожденных – причины, лечение и фото

В зависимости от активности роста опухоли и создаваемых рисков, врач принимает решение о начале лечения ─ возможно ли помочь пациенту терапевтическими методами или необходимо вмешиваться агрессивно (хирургическая операция).
К оперативному вмешательству прибегают, когда гемангиома имеет большие размеры и глубоко поражает ткани. Поврежденные участки иссекаются поэтапно. Как правило, оперативное решение применяется вместе с другими способами лечения. Если поражается обширная часть печени, то с гемангиомой удаляют и часть органа.
Удаление опухоли
Применяются следующие методы удаления кавернозных гемангиом:
Иногда назначается гормонотерапия.
В лечении эффективно применяется комбинирование методов. Глубокие гемангиомы удаляют хирургически, а участки, где был изменен лишь капиллярный слой ─ методом криодеструкции или лазером.
Читайте также — ангиома кожи
В области зрительных органов применяют склерозирование, поскольку лазер или азот опасно применять на этом участке. При обширной гемангиоме лечение поэтапное и длительное.
Важно добиться естественного замещения кожных покровов.
Нецелесообразно производить удаление всего новообразования и затем проводить трансплантацию кожи, так как это может привести к ярко выраженному, стойкому косметическому дефекту.
Кавернозная гемангиома: лечение, фото, симптомы и удаление
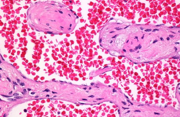
Кавернозная гемангиома – вид инфантильной гемангиомы. Встречается в подавляющем числе случаев у детей и носит врождённый, но не наследственный характер. Представляет собой патологическое разрастание сосудов, образующих полости (каверны), наполненные кровью. Под микроскопом видны разросшиеся, хаотично сплетённые в узлы сосуды.
Заболевание носит доброкачественный характер, хоть и отличается быстрым ростом и прорастает в окружающие ткани. Встречается редко – составляет 7% сосудистых опухолей по наблюдениям ВОЗ. Код по МКБ-10 – D18.0.
Точные причины заболевания неизвестны. Предполагается, что в первом триместре беременности происходит нарушение формирования сосудистой системы плода. Предрасполагающие факторы: недоношенность, патология беременности, многоплодная беременность, вирусные заболевания, вредные привычки и другие факторы, негативно отражающиеся на состоянии будущего ребёнка.
Этот тип опухоли встречается и у взрослых, крайне редко. Причины: нарушение работы сосудов при заболеваниях внутренних органов, токсическое действие некоторых лекарств, радиация, чрезмерное воздействие УФ лучей, плохая экология.
Классификация кавернозных опухолей
Локализация:

Сосудистая структура:
- Капиллярная. Образована мелкими сосудами, имеет небольшие размеры и склонность к самопроизвольному рассасыванию.
- Артериальная. Обычно большой величины, расположена в глубине кожи. Ярко-красного цвета артериальной крови.
- Венозная. Образована мелкими и крупными венами. Цвет – синюшный.
- Смешанная. Может состоять из разных видов сосудов. Большие каверны наполнены кровью, в них часто бывают тромбы.
Симптомы
Проявляется в первые дни, недели после рождения, протекает в три стадии.
Первые проявления
Первичные проявления кожной и подкожной каверномы зависят от того, насколько глубоко она расположена, и типа сосудов, её образующих. На коже у ребёнка появляется округлое возвышение с небольшим пятнышком в центре ярко-красного, багрового, синюшного или фиолетового цвета.
Окраска зависит от глубины залегания каверны. Чем ближе к поверхности кожи – тем ярче цвет. Если опухоль находится глубоко под кожей, то окраска кожи не меняется, видна только припухлость. Цвет пятна зависит и от вида поражённого кровеносного сосуда.
Артерии дают яркий цвет, вены – тёмный, похожий на синяк.
Поверхность пятна гладкая, реже шероховатая, границы чёткие. На ощупь образование мягкое, безболезненное. Характерен симптом «сжатия» и «наливания» – при нажатии пальцем опухоль уменьшается и бледнеет, а потом восстанавливает форму.
Это происходит из-за наличия кавернозных полостей, сообщающихся друг с другом – при надавливании кровь отливает, а затем снова наполняет полость. При крике, напряжении, кашле кавернома увеличивается, наполняясь кровью, и становится ярче.
На разрезе выглядит как губка, наполненная кровью и пронизанная ходами и отверстиями.

Фаза роста
Продолжается до 6-9 месяцев, иногда дольше. Гемангиома растет вширь и вглубь. При диффузном росте образование становится бесформенным, разрастаясь во все стороны и вглубь, прорастая кожу и подкожную клетчатку.
Если ограничена капсулой, то на вид остаётся прежней, увеличиваясь в размерах. Процесс безболезненный. Скорость различна. Невозможно предугадать ни интенсивность роста, ни величину, которых достигнет образование, ни возраст, до которого будет продолжаться увеличение каверномы.
Возможные осложнения – кровотечение, язвы на поверхности, инфицирование, тромбозы.
Фаза покоя
Рост завершается, и образование приобретает окончательный вид и размер. Происходит это к 5-7 годам. Локальная кавернома похожа на ягоду либо узел – выпуклая, чётко очерченная и шероховатая. Диффузная представляет собой большое пятно с неопределёнными границами. Иногда занимает значительную площадь, к примеру, половину лица или ноги.
Фаза регрессии
Происходит обратное развитие – опухоль бледнеет, становится мягче, постепенно уменьшаясь в размерах. Обычно это происходит к 12 годам. На месте большой кавернозной гемангиомы могут образовываться рубцы, атрофия кожи, гиперпигментация.
Сосудистая опухоль внутренних органов протекает обычно без клинических проявлений.
Диагностика
Как правило, не вызывает затруднений. У кавернозной гемангиомы характерный внешний вид и признаки. Для определения точного размера, типа и структуры новообразования используют УЗИ, ангиографию.
Окончательный диагноз ставит гистолог, исследуя микропрепарат ткани. Под микроскопом видны большие полости в дерме и гиподерме.
Но биопсию назначают редко, в спорных случаях из-за опасности кровопотери при заборе ткани на анализ.
Если на теле более трёх поверхностных образований, то вероятность того, что они есть и внутри велика. Таким пациентам проводят МРТ и КТ, исключая опухоль печени, головного мозга, костей, а также системное заболевание, симптомом которого бывает кавернома.
- Дифференциальный диагноз с лимфангиомой, невусом, родимым пятном.
- Ребёнок нуждается в постоянном наблюдении педиатра, дерматолога, хирурга.
- При опасной локализации новообразования – глаз, нос, ухо, шея, область промежности необходима консультация и наблюдение узких специалистов.
- Прогноз благоприятный – не озлокачествляется, способна к инволюции, неплохо поддаётся лечению и редко даёт рецидивы.
Лечение
Подбор метода происходит в зависимости от вида, расположения и степени агрессивности каверномы. Причём угрозу несёт не опухоль, как таковая, а осложнения – кровотечения, изъязвления, инфицирование, нарушение работы соседних органов.
Если кавернозная гемангиома растет на туловище или конечностях, не подвергается повреждениям из-за трения одежды, травмированием самим ребёнком, не нарушает функции организма, нет необходимости в срочном начале лечения. Предписывается пристальное наблюдение под контролем врачей.

Доброкачественная опухоль гемангиома у ребёнка
Немедленное лечение требуется при:
Чем быстрее начато лечение в этих случаях, тем лучше прогноз.
Цель лечения: замедлить рост новообразования, избежать осложнений либо устранить возникшие.
Опухоль в фазе инволюции нуждается в наблюдении. При возникновении осложнений лечение проводят и в этом периоде.
Методы лечения
Рассмотрим подробно методики избавления от недуга.
Консервативная терапия
Лечение бета-адреноблокаторами. Пропранолол – препарат первого ряда в терапии сосудистых образований всех типов, в том числе и кавернозных. Первый опыт применения пропранолола описан в 2008 году. За 10 лет научные исследования подтвердили его высокую эффективность и безопасность. 98% сосудистых опухолей поддаются лечению этим средством.

Показания – обширные поверхностные опухоли и гемангиомы сложной локализации – область глаз и орбиты, дыхательные пути, печень. Каверномы с изъязвлениями.
Препарат принимается внутрь в индивидуальной дозировке под контролем кардиолога детям любого возраста. Малыши до 2 месяцев в начале курса пропранолола госпитализируются на короткий срок для наблюдения. Остальные лечатся амбулаторно.
Действие лекарства видно очень быстро – через несколько часов. Уменьшается кровенаполнение опухоли, она становится бледнее и более мягкой консистенции. Препарат сужает патологические сосуды и запускает процесс их отмирания. Побочные действия слабые.
Пропранолол произвел революцию в лечении сосудистых опухолей. Его эффективность намного выше любого, ранее применяемого средства.
Тимолол. Ещё один бета-адреноблокатор. Применяется в виде геля при небольших поверхностных образованиях. Простой в применении и действенный препарат.
Лекарства, не являющиеся препаратами выбора. Назначаются, когда применение препаратов первого ряда невозможно по каким-либо причинам. Преднизолон – стероидный гормон, имеет много серьёзных побочных действий при низкой результативности – полное излечение при обширных и неоперабельных процессах наступает в 2% случаев.
Противоопухолевые средства – Винкристин, Сиролимус, Интерферон (иммунотерапия).
Лазерная терапия
Под воздействием импульсного лазера расширенные сосуды склеиваются. Лазер не затрагивает здоровую ткань, не оставляет рубцов, безопасен. Применяется при небольших, плоских, локализованных гемангиомах.

До и после процедуры удаления гемангиомы лазером
Криотерапия
Прижигание жидким азотом. Безболезненная процедура, хорошо переносится. На месте прижигания остаётся пузырек. Применяется при поверхностных образованиях размером до 1 см.
Электрокоагуляция
Прижигание электрическим током с помощью специальных аппаратов. Метод действенный, но применим только на участках до 0,5 см в диаметре.
Склерозирование
Это введение склерозирующих веществ в кровеносный сосуд, образующий опухоль. Чаще всего используется 70% этиловый спирт. Процедура очень болезненна, оставляет шрамы. Применяется редко.
Лучевая терапия
Применяют в труднодоступных местах (позвоночник) при отсутствии других способов повлиять на заболевание. Проводят лучевое лечение курсами. Показывает массу осложнений, небезопасно.
Оперативное лечение
Его не применяют в первую очередь. Хирургия показана при безуспешности консервативных способов или при угрозе косметического дефекта при рассасывании образования. К примеру, при расположении на волосистой части головы высок риск, что останутся участки с лысиной. В этом случае лучше сделать операцию.
Также хирургическим путём проводят удаление остатков опухолевых тканей в период регрессии. К оперативным методам прибегают и в экстренных ситуациях, когда есть угроза кровотечения из поражённых органов, либо оно началось.
Комбинированное лечение
Для достижения наилучшего результата сочетают несколько методов.
Кавернозная гемангиома – доброкачественное, но далеко не безопасное заболевание, которое требует систематического и тщательного наблюдения и своевременного лечения.
Кавернозная гемангиома печени: что это такое, симптомы и лечение у взрослых и детей
Гемангиома печени является загадочным заболеванием, причины развития, роста новообразований до сих пор точно не установлены. Кавернозная гемангиома возникает примерно у 2% населения, при этом мужчины страдают реже, нежели женщины. Недуг может возникнуть в абсолютно любом возрасте, как правило, его диагностируют у пациентов 30-50 лет.
Заболевание отличается разрастанием сосудистых стенок с формированием полостей (каверн). По сути, гемангиома доброкачественное образование, но обязательно требующее наблюдения и при необходимости своевременного и качественного лечения.
Кавернозная гемангиома угрозы жизни не несет, если она образовалась около физиологических отверстий и на слизистых оболочках, она способна доставить массу дискомфортных ощущений. При разрастании гемангиомы рядом с наружным слуховым ходом или глазами, появляется риск глухоты и слепоты.
Классификация кавернозных гемангиом

В медицине гемангиомы принято классифицировать в зависимости от их локализации. Образования бывают: кожные, опорно-двигательного аппарата, паренхиматозных органов.
Кожные кавернозные гемангиомы (глаз, губ, лица) отличаются расположением на эпидермисе. Иногда врач может предлагать не трогать их, исключением станут только те новообразования, которые появились на шее, лице, половых органах.
Кавернозные гемангиомы паренхиматозных органов – это те, которые формируются в органах:
Также образования появляются в половых железах и печени. Они могут быть опасны жизни, требуют незамедлительного начала терапии. При гемангиоме печени фильтрующий орган ослабевает, появляется угроза развития тяжелых заболеваний печени, вплоть до появления цирроза.
Гемангиомы опорно-двигательного аппарата доставляют больному не меньше проблем, чем другие виды подобных новообразований. Если речь идет о ребенке, новообразование растет намного быстрее, чем скелет.
В медицине существует и другая классификация, а именно по типу кровеносных сосудов, изменяющихся в процессе развития гемангиомы: капиллярная, артериальная, венозная. Капиллярная гемангиома появляется в 90% от всех случаев заболеваемости. Известны ситуации, когда гемангиома со временем рассасывается без врачебного вмешательства.
Что такое гемангиома печени, симптоматика

На печени гемангиома может быть только одна, известны случаи, когда формируются множественные новообразования. Размеры гемангиомы печени колеблются в промежутке от 2 мм до 20 см. В ходе визуального осмотра видно, что поверхность опухоли плоская или бугристая (из-за множественных повреждений).
Основным симптомом гемангиомы становится ее цвет, он красновато-синий, хорошо отличимый от окружающих тканей. Большие по размеру опухоли обычно имеют ножку. Замечено, что правая доля печени более подвержена формированию гемангиом, чем левая.
Кавернозная гемангиома печени – это:
- несколько крупных полостей, имеющих внутренние стенки;
- сформированные из фиброзной ткани.
Реже у пациентов развиваются капиллярные гемангиомы, отличающиеся множеством мелких полостей, в каждой из которых имеется по одному кровеносному сосуду. Последние сложно поддаются диагностированию, поскольку бывают настолько маленькими, что при обследовании их не удается определить.
Пациент при патологии не испытывает абсолютно никаких неудобств, наличие опухоли обнаруживается случайно при профилактическом осмотре или сдаче анализов по поводу другого заболевания.
Если размеры кавернозной гемангиомы внушительные, больной начинает страдать от дискомфортных ощущений в правой верхней части брюшной полости. Иногда причины болей связывают с факторами:
В остальных случаях этиология болевого синдрома остается не установленной.
Иногда фильтрующий орган у пациента увеличивается, появляются жалобы на ощущение переполненности желудка даже после употребления небольшой порции пищи, приступы тошноты и рвоты.
Существует зависимость, чем меньше гемангиома, там менее выражена симптоматика.
Примерно 40% пациентов ощущают признаки патологии при размере опухоли до 4 см, при размерах гемангиомы до 10 см и более проблемы возникают у 90% больных.
Названные симптомы нельзя назвать специфическими для кавернозной гемангиомы печени, они могут быть связаны и с другими патологическими состояниями. В любом случае, при появлении непривычных ощущений в брюшной полости необходимо обратиться к доктору и обследоваться.
Вероятные осложнения при гемангиоме печени
Исход и прогноз на будущее при развитии заболевания печени достаточно неплохой. На сегодняшний момент нет данных, когда кавернозная гемангиома перерождалась в злокачественное новообразование, онкологию. Несмотря на это, в ряде случаев есть вероятность развития осложнений. Они связаны с активным увеличением размеров опухоли, специфической локализацией.
Разрыв опухоли
В очень редких случаях гемангиомы большого размера разрываются сами либо в результате травмирования, это становится причиной сосудистого шока, проникновения крови в брюшную полость.
Пациент при этом:
- начинает сильно бледнеть;
- у него изменяется сердечный ритм;
- падает уровень кровяного давления;
- на кожных покровах выступает пот.
При развитии подобной симптоматики требуется максимально срочно обратиться к доктору за скорой медицинской помощью, так как данное состояние угрожает жизни и требует неотложной терапии.
Внутриопухолевые кровотечения
Кровотечения внутри кавернозной гемангиомы диагностируют по следам крови в каловых массах. Кровь попадает в фекалии по желчным протокам из печени в кишечник.
Сдавливаение желчных протоков
В единичных случаях врачи диагностируют такое осложнение, как сдавливание желчных протоков, расположенных около опухоли. Новообразование провоцирует нарушение кровообращения, к примеру, это бывает при перекрытии гемангиомой нижней полой вены печени. В подобных ситуациях у пациента сильно отекают нижние конечности.
Гемобилия
Еще одна редкая патология, которая может осложнять течение кавернозной гемангиомы – это гемобилия. При этом происходит обесцвечивание каловых масс, темнеет моча, кожные покровы и слизистые оболочки приобретают желтушный оттенок.
Способы диагностики при гемангиоме печени
-

В ходе визуального осмотра прощупать опухоль крайне сложно, особенно если она небольшого размера.
- Примечательно, что проблемы со здоровьем не покажут даже результаты анализов крови, мочи.
- Только в исключительных случаях наблюдается тромбоцитопения.
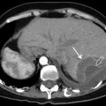
- Для постановки точного диагноза рекомендовано пройти ряд лабораторных исследований, обязательно назначается УЗИ, МРТ, КТ, печеночная артериография.
УЗИ
Ультразвуковое исследование печени является дешевым, доступным и неинвазивным методом диагностики. Зачастую гемангиомы эхогенные, без труда просматриваются, однако лучшие результаты покажет доплеровское картирование.
КТ
Дополнительно необходимо пройти компьютерную томографию, предпочтительно исследование с применением контрастных веществ. Компьютерная томография дает возможность установить наличие гемангиомы в 65-70% случаев.
МРТ
Магнитно-резонансная томография – идеальный метод диагностики, также предусматривает использование контрастного вещества. Образования меньше 2 см в диаметре на снимках выглядят как метастазы либо карциномы, в целом эффективность метода превышает 90%.
Несмотря на высокую точность описанных выше диагностических неинвазивных методик, весьма полезной может оказаться ангиография. Исследование покажет смещение ветвей артерий печени, их наполненность, растяжение.
При кавернозной гемангиоме нежелательным методом является биопсия, поскольку появляется большая вероятность развития кровотечений. Когда этиология опухоли не установлена, потребуется использовать магнитно-резонансную томографию вместе с компьютерной. Если результаты процедур окажутся неудовлетворительными, прибегают к биопсии.
Лечение гемангиомы печени

Основная масса гемангиом, если они небольшого размера, никаких неприятных симптомов не вызывают, особого лечения не требуют. Научные исследования показывают, что только у 1 человека из 50 при проведении повторного сканирования определяется увеличение размеров новообразования.
Не исключается перерождение опухоли в злокачественное образование, по этой причине при диагностировании гемангиомы медики рекомендуют обязательно сходить на повторное обследование. Чтобы убедиться, что с опухолью ничего не происходит, диагностику взрослым проводят спустя 6-12 месяцев. Если динамика отсутствует, трогать гемангиому не следует.
Исключением станут:
Важно следить за состоянием больных, у которых размер гемангиомы превышает в диаметре 10 см. Таким людям необходимо проверяться каждый год.
Лекарственная терапия
Еще недавно методик избавления от кавернозной гемангиомы печени не существовало, так само, как и способов уменьшения ее размеров. Только пару лет назад врачи узнали, что размеры новообразования можно уменьшить при помощи специальных противоопухолевых препаратов. Также применяются средства на основе вещества сорафениб.
Хирургическое лечение

Зачастую хирургическое вмешательство рекомендовано после наступления неблагоприятной симптоматики. Проблема в том, что сложно сказать является ли сама гемангиома причиной дискомфорта или другие патологии печени. Есть риск, что после операции пациент продолжает предъявлять жалобы на болезненность, это означает, что причиной симптомов была не гемангиома.
Назначают операцию при быстрых темпах роста новообразования либо невозможности дифференцировать его от злокачественной опухоли. Поскольку кавернозная гемангиома при разрыве очень сильно кровоточит, важно не допустить повреждения и своевременно удалить опухоль. Статистика показывает, что разрыв случается только в 3% от всех случаев патологии.
Первым делом требуется остановить кровотечение, для этого используются методики:
Сразу после стабилизации проводится хирургическое удаление гемангиомы. Современные медики отдают предпочтение малоинвазивным методикам, положительную динамику дает склерозирование, артериальная эмболизация. Первый способ дает возможность избавиться сразу от множества мелких новообразований. Купировать рост гемангиомы печени помогает радиочастотная деструкция.
Медики не могут сойтись во мнении, есть ли необходимость превентивно удалять гемангиомы большого размера или нет. Одни уверены, что разрыв гемангиомы несет угрозу жизни больного человека. Другие же утверждают, что подобные ситуация случаются крайне редко, зато количество осложнений после вмешательства слишком высокое.
После операции примерно у 7% больных возникают осложнения, в том числе и опасные для жизни. По этой причине оперативное лечение назначают только при тяжелой симптоматике или же наличии серьезных осложнений. Народная медицина в данном случае положительных результатов не дает.
Кавернозная гемангиома печени – методы лечения и профилактика
Кавернозная гемангиома — это опухолевое новообразование в печени, имеющее доброкачественный характер. Симптоматика у большинства пациентов отсутствует, нередко становится явной только при значительном увеличении опухоли. Частота встречаемости заболевания — примерно 7% населения. Чаще патологический процесс обнаруживается у женщин.
Общие характеристики гемангиомы
Печеночная гемангиома — это опухоль, сформированная сосудами и находящаяся глубоко в ткани органа. Новообразование имеет доброкачественный характер и не склонно к перерождению в онкологическое заболевание.
Большинство специалистов предполагает врожденное происхождение патологии, то есть формирование опухоли начинается в период закладки органов плода. Считается, что около 80% гемангиом подвергается рассасыванию у детей до полугода. Выделяют два типа гемангиом — капиллярная и кавернозная.
Что такое кавернозная гемангиома
Кавернозная гемангиома печени — это опухоль, структура которой представлена множеством сосудистых полостей. Другое название образования — пещеристое, поскольку полости напоминают пещеры, внутри которых содержится кровь. Снаружи сосуды покрыты оболочкой из соединительной ткани.

Узел может возникать в одной или двух долях печени. Диаметр новообразования колеблется от 2 до 20 см. Патанатомия опухолевого процесса — сосудистый узел, или несколько узлов в разных частях печени. На микропрепарате строение гемангиомы представлено множеством разросшихся сосудов, образующих полости.
Причины заболевания
Основной причиной формирования гемангиомы являются нарушения на клеточном уровне во время внутриутробного развития плода. Вызывать это могут следующие факторы:
- вирусные инфекции в первом триместре беременности;
- эмоциональные стрессы;
- курение и злоупотребление алкоголем;
- интоксикация лекарственными средствами;
- другие внешние факторы.
Под влиянием этих причин происходит изменение развития сосудов печени на 2-3 месяце беременности, что и вызывает образование ангиоматозного узла.
Симптомы
Длительное время гемангиома печени не обнаруживается симптоматически. Клиническая картина проявляется при увеличении опухоли более 7-8 см. Так как новообразование склонно к медленному росту, симптомы становятся явными только к 45-55 годам.
Выделяют 4 основных клинических синдрома:
- Болевой синдром. Боль возникает в области правого подреберья, имеет различную интенсивность. Чем больше размеры опухоли, тем ярче болевые ощущения.
- Диспептические явления. Пациент жалуется на отрыжку, тошноту, горечь во рту, метеоризм, нарушения стула.
-

Астеновегетативный синдром. Появляется повышенная утомляемость, недомогание, ломота в теле.
- Синдром инородного тела. Человека беспокоит тяжесть в правом подреберье, чувство распирания.
Внешне можно обнаружить следующие признаки поражения:
- желтушное окрашивание кожи и слизистых;
- увеличение размеров печени;
- отеки;
- расширение вен на животе.
Важно знать! Косвенным признаком печеночной гемангиомы является наличие сосудистых опухолей на коже.
Диагностические процедуры
В бессимптомном периоде гемангиома обычно является случайной находкой при обследовании человека по другим поводам. Когда же имеются определенные симптомы заболевания, диагностика включает несколько методов:
- УЗИ брюшной полости. Наиболее доступный и достаточно информативный метод. Точность диагностики достигает 80%. Гемангиома на УЗИ выглядит как участок затемнения с просветлениями внутри. С помощью этого способа выявляется локализация опухоли, ее размеры, толщина фиброзной капсулы.
- Ангиография. Это метод исследования артерий с помощью рентгеноконтрастного вещества. На снимке видно скопление контраста в сосудах гемангиомы.
- МРТ. Наиболее точный метод диагностики. Позволяет не только обнаружить опухоль и установить ее размеры, но и оценить состояние сосудов и капсулы.
Дополнительными и обязательными методами диагностики являются лабораторные исследования крови, оценивающие состояние и функцию печени.
Методы лечения
При впервые выявленной опухоли, размерами не превышающей пяти сантиметров, пациенту рекомендуют повторное ультразвуковое обследование через три месяца. Если диаметр образования не изменился, устанавливают динамическое наблюдение с проведением УЗИ каждые полгода. Если же обнаружилось увеличение кавернозной гемангиомы печени, требуется лечение.
Медикаментозные
Лекарственная терапия не обладает особенной эффективностью и носит симптоматический характер. Используются обезболивающие препараты, гепатопротекторы. Женщинам могут быть назначены гормональные средства, так как гемангиома увеличивается под влиянием эстрогенов.
Оперативные
Необходимость оперативного вмешательства наблюдается у 10% пациентов. Показаниями к проведению операции являются:
- интенсивный рост гемангиомы;
- размеры новообразования более 7 см;
- сдавление опухолью соседних органов;
- выраженная симптоматика, не устраняемая консервативными методами;
- планирование беременности.
Существует два типа оперативных вмешательств, различающихся объемом удаления органа.

- перевязка сосудов;
- эмболизация (закупорка) питающего опухоль сосуда;
- склерозирование артерий, то есть введение в них специального вещества, способствующего их слипанию;
- прижигание лазером;
- замораживание жидким азотом.
Внимание! К сожалению, проведение таких вмешательств не всегда возможно, поэтому осуществляются и радикальные операции.
Срочная операция
Срочное оперативное вмешательство необходимо в случае развития осложнений, особенно при разрыве опухолевой капсулы и, как следствие, возникновения кровотечения. При этом сначала производится остановка кровотечения с одновременной инфузионной терапией для восполнения кровопотери. Затем, по возможности, удаляют саму опухоль.
Противопоказания к операции
Хирургическое лечение имеет некоторые противопоказания к проведению:
- сформировавшийся цирроз;
- поражение гемангиомой нижней полой вены;
- тяжелая патология сердца;
-

выраженная желтуха;
- нарушение свертываемости крови.
В таких ситуациях возможна только консервативная терапия и постоянное наблюдение у врача для своевременного принятия мер в случае ухудшения состояния.
Народные средства
Использование народных средств возможно при небольших новообразованиях и только в качестве вспомогательного лечения.
Возможные осложнения
Главное осложнение кавернозной гемангиомы — это ее самопроизвольный разрыв. В результате происходит массивное излитие крови, содержащейся в кавернах.
Внутрибрюшное кровотечение при отсутствии своевременной медицинской помощи быстро приводит к летальному исходу. Частота этого осложнения составляет 10%, а смертность в таких случаях наблюдается у 80% пациентов.
Озлокачествление опухоли происходит крайне редко.
Другими осложнениями являются:
- абсцесс печени вследствие инфицирования опухоли;
- перекручивание ножки опухоли с развитием «острого живота»;
- кишечная непроходимость — при больших размерах новообразования;
- при гемангиоматозе (множественных опухолях) развивается печеночная недостаточность.
Прогноз
У большинства пациентов прогноз заболевания благоприятный. Если гемангиома диагностирована у ребенка, к 18 годам она чаще всего самостоятельно регрессирует. У взрослых людей новообразование растет медленно, и обычно не вызывает симптомов, ухудшающих качество жизни. Осложнения встречаются редко.
Профилактика
Специфической профилактики заболевания нет, поскольку это врожденная патология. К неспецифическим предупреждающим методам относятся те, которые направлены на предотвращение быстрого роста опухоли и ее разрыва:
- соблюдение здорового питания;
- отказ от интенсивных физических нагрузок;
- отказ от вредных привычек.
Совет! Регулярное медицинское обследование и своевременное лечение помогут избежать осложнений.
Гемангиома — это доброкачественная опухоль, которая при выполнении профилактических мероприятий протекает бессимптомно и не вызывает осложнений. Регулярное медицинское обследование позволяет своевременно определить показания к началу лечения.
Кавернозная гемангиома печени
Печень является органом, в котором отсутствуют нервные окончания.
Что же тогда тревожит людей, которые, придя на прием к врачу, жалуются на боли под ребрами с правой стороны? Часто одной из причин болевых ощущений в правом подреберье оказывается кавернозная гемангиома печени, представляющая серьезную угрозу не только для органа, но и для здоровья в целом. Все о причинах, симптоматике и особенностях терапии – в данном материале.
Что собой представляет гемангиома
Печеночная гемангиома – патология, при которой в печени образуется доброкачественная опухоль, чаще всего представляющая собой аномальное сплетение сосудов и тонких капилляров.
Сегодня врачи выделяют следующие два вида гемангиомы (капиллярную и кавернозную), отличающиеся друг от друга как симптоматикой, так и принципами лечения. Первая не представляет опасности: она, как правило, обладает небольшими размерами, а внутри нее есть полость, где скапливается кровь из капилляров.
Кавернозная же опухоль – это клубок крупных сосудов. Встречаются случаи, когда новообразование занимает около половины всего органа. Стремительный неконтролируемый рост кавернозной опухоли опасен ее разрывом и обильным внутренним кровотечением. Поскольку последнее может привести к летальному исходу, не стоит пренебрегать своевременной диагностикой и лечением патологии.
Причины образования
Гемангиому диагностируют у 7% населения планеты; чаще всего у женщин. Ученые до сих пор не могут сформулировать точных причин возникновения данного вида образования в печени, но многочисленные исследования привели их к следующим выводам:
- сосуды еще в детском возрасте сплетаются в опасный для жизни клубок по причине порока их развития;
- образование геманигиомы провоцирует повышенная выработка половые гормоны, в частности эстрогена;
- причиной может стать травма печени.

Кавернозная гемангиома незначительных размеров не оперируется
Симптоматика заболевания
Обнаружение гемангиомы осложняется тем, что орган не может отреагировать болевым синдромом на появление в органе новообразования. Патология долгое время протекает без каких-либо симптомов, и только когда опухоль достигнет критических размеров, организм начинает сигнализировать о существующей проблеме следующим образом:
- боли в области правого подреберья;
- тошнота и рвота;
- увеличение печени, которое можно обнаружить при пальпации органа.
При наличии перечисленных признаков больной нуждается в срочной госпитализации, поскольку сильное давление внутри органа, который в свою очередь давит на соседние, может привести к разрыву гемангиомы и смертельно опасному кровотечению.
Чтобы вовремя обнаружить новообразование в печени, проводятся следующие диагностические исследования:
- УЗИ;
- МРТ;
- сцинтиграфию – введение в печень радиоактивных изотопов, благодаря излучению которых можно визуализировать строение и работу органа, и, соответственно, имеющиеся нарушения.

Современные методы диагностики дают возможность наблюдать за развитием новообразования
Биопсия при подозрении на гемангиому не выполняется, поскольку может спровоцировать кровотечение.
При обнаружении новообразования пациента ставят на учет и в течение 3-х месяцев следят за его состоянием. По истечении данного срока проводится повторная диагностика для вычисления скорости роста опухоли. Это важный показатель, который влияет на решение об удалении.
Если кавернозная гемангиома имеет небольшие размеры, ее удаление не проводится, поскольку опухоль подпитывают крупные артерии. Хирургическое вмешательство может стать причиной больших кровопотерь. В таких случаях врачи занимают позицию выжидания и наблюдения за состоянием пациента.
Операция может иметь место только при следующих обстоятельствах:
Прогноз при гепатобластоме печени у детей
- расположение гемангиомы в правой доле органа или близко к его поверхности;
- перманентный болевой синдром в правом подреберье;
- новообразование достигло таких размеров, что начинает давить на соседние с печенью органы, при этом его рост не замедляется;
- опухоль стала причиной инфицирования печеночных вен;
- пациентка планирует забеременеть и провести лечение гормональными препаратами (оба фактора провоцируют увеличение печени в размерах).
Оперативное вмешательство также имеет строгие противопоказания:
- новообразования в обеих долях органа;
- цирроз или гематома печени;
- текущая беременность;
- поражение крупных печеночных вен;
- гормонотерапия.
На сегодняшний день технологии позволили практически отказаться от традиционной резекции – для удаления гемангиомы используется лазер или жидкий азот (криодеструкция). Эти современные методы лечения малоинвазивны, что позволяет ускорить процесс заживления и снизить риски развития постоперационных осложнений. Единственным минусом является вероятность образования на печени рубца.
- К не хирургическим методам воздействия на опухоль относят СВЧ-излучение, лучевую и лазерную терапию.
- Медикаментозное лечение гемангиомы заключается в приеме гормональных лекарственных средств, которые назначаются лечащим врачом по индивидуальной схеме.
- Важной составляющей успеха в борьбе с кавернозной гемангиомой (особенно если она имеет небольшие размеры) является правильное питание. Его принципы заключаются в следующем:
- исключение (желательно полное) употребления алкоголя;
- ограничение употребляемых жиров. Блюда лучше готовить из диетических сортов мяса, рыбы и птицы;
- запрет на жареное, копченое, соленое и маринованное;
- контроль за количеством употребляемого сахара – оно не должно превышать допустимую норму;
- дробное питание около 5–6 раз вдень.
Кавернозная гемангиома печени – коварное заболевание, поскольку при плохой работе природного фильтра организма страдают все системы жизнедеятельности и человек начинает серьезно болеть. Чтобы снизить риски увеличения печени и возможного кровотечения по причине образования в органе кавернозной опухоли, необходимо регулярно проходить обследование и тщательно следить за питанием.















































