
УЗИ вен и артерий нижних конечностей – один из популярных и крайне необходимых скрининговых методов определения негативных изменений в системе кровообращения. При своей абсолютной безопасности этот диагностический способ крайне полезен, поскольку дает корректные результаты и применяется, при соответствующих показаниях, практически постоянно.
Что это такое
Диагностические возможности метода базируются на отражательных свойствах ультразвуковых волн от подвижных объектов. При этом колебательный процесс отражения регистрируется особыми датчиками, передающими данные на компьютер. В дальнейшем, с помощью программного обеспечения, сигналы преобразуются в графики кровотока, удобные для изучения и постановки диагноза врачом-флебологом.
Научные достижения позволили создать аппараты, преобразующие сигналы датчиков в цветные изображения, изучаемые специалистами непосредственно на экранах мониторов. Более того, процесс пульсирующего кровенаполнения можно даже услышать в виде разных по интенсивности шумовых проявлений, свойственных сосудам.
Так цвет и звук позволяют осуществлять углубленные исследования кровотока, а значит, и вынести уточненный диагноз вероятного заболевания.

Как подготовиться к обследованию
Ультразвуковое исследование вен и других сосудов нижних конечностей не предусматривает осуществления отдельного комплекса мероприятий по подготовке, а в неотложных случаях осуществляется и вовсе без них.
Для чистоты обследования следует:
- отказаться от приема лекарств, особенно влияющих на показатели кровотока, за три дня до процедуры. Если же препарат относится к категории жизненно важных лекарств, об этом информируют врача, который вносит в процесс обследования соответствующие коррективы;
- ограничить суточный прием пищи, способной интенсифицировать сократительную сердечную функцию (кофе и чай, иные стимуляторы);
- исключить за двое суток прием алкоголя, а за два-три часа до мероприятия и курение;
- в порядке соблюдения гигиенических нормативов перед УЗИ рекомендуют побрить и помыть ноги.
Таким образом, подготовка к УЗИ артерий и вен нижних конечностей – мероприятие с минимальной затратой времени, но зато со значительной пользой для здоровья.
Показания и противопоказания
Традиционными показаниями к УЗИ артерий и вен нижних конечностей являются:
- отечность ног;
- проявления парестезий;
- различимые структурные деформации вен («звездочки» и прочее);
- изменение цвета эпителия, проявления на ногах цианоза;
- долгое заживание ранок;
- неоправданное возникновение утомления или болей в процессе ходьбы (случаи перемежающей хромоты). Снижение температуры ног в сравнении с аналогичными другими частями тела;
- локальное прекращение восстановления волос, возникновение зудящих ощущений в ногах.

Категорические противопоказания к УЗИ ног:
- протекание острых процессов инфекционного характера;
- мелкие кожные травмы (порезы, наличие изъязвлений и другое);
- ожоги;
- тяжелые состояния пациентов;
- наличие психических нарушений у обследуемых;
- острые неотложные случаи (инфаркт, аномалии кровообращения мозга, дефицит коронарного кровообращения, искажения ритма сердца и другое).
В каком возрасте стоит задуматься о проведении исследования
В этом контексте в контингент риска входят люди в возрасте старше 40 лет, которым рекомендуется осуществлять УЗИ ног ежегодно.
Вместе с тем, мониторинговые УЗИ артерий и вен нижних конечностей демонстрируют значительное омоложение соответствующих болезней и, в частности, аномалий атеросклеротического порядка.
Следовательно, возрастные параметры не столь актуальны и достаточны, как показатели необходимости проведения УЗИ.
Важно внимательно отслеживать признаки возможных сосудистых болезней ног и, при их обнаружении, немедленно стоит проводить необходимую диагностику.
Вполне значимыми аргументами к тому, чтобы сделать УЗИ венозных сосудов на ногах могут стать:
- сахарный диабет (пожилые диабетики особенно склонны к тромбозам не только поверхностных, но и глубоких сосудов);
- высокое артериальное давление;
- боль в ногах в процессе ходьбы и, особенно, в покое;
- избыточный вес;
- табакозависимость;
- завышенные показатели холестерина в крови;
- оперативное вмешательство;
- отечные явления;
- судороги ног;
- патологии вен;
- трофические язвы;
- явные цветовые изменения кожи ног;
- перенесенные инфаркты и инсульты.
Виды и как делают УЗИ сосудов нижних конечностей
Передовая медтехника представляет возможным сделать УЗИ венозных сосудов нижних конечностей, в зависимости от наблюдаемой симптоматики, тремя способами.
Двухмерная допплерография
УЗДГ, так сокращенно называется двухмерная допплерография, – классический диагностический вариант сосудов ног, дающий возможность определять главные параметрические элементы кровяного тока и его скорости. Обычно применяется для определения сосудистых патологий.

Дуплексное ангиосканирование
Дуплексное ангиосканирование, или УЗДС, отличается от первого наличием возможностей цветного картирования, позволяющего дополнительно определять направленность тока крови. Потоки, следующие в разных направлениях, приобретают различные цвета, что является для специалиста неоценимой информацией, дающей возможность комплексно определять показатели состояния сосудов.
Триплексное сканирование
Этот метод – наиболее информативный, поскольку позволяет оценивать объемные, цветные картинки сосудов ног. Методика не показывает скорости кровотока, поэтому нередко сочетается с двухмерным способом.
УЗИ ног длится до 30 минут. Пациент располагается лежа, в сидячем положении, либо стоя – по желанию диагноста.
Конечности в местах проведения обследования покрываются особым гелем, улучшающим контакты датчика с кожей и приглушающим излишние шумы.
После включения излучающего генератора врач проводит датчиком по ранее выделенным областям, одновременно изучая картину состояния сосудов, получаемую на мониторе.
Методика дает возможность дать оценку общего функционального состояния сосудов по ряду косвенных признаков, определить выраженные аномалии (тромбоз, бляшки, сосудистые спазмы и прочее). По результатам могут назначаться дополнительные лабораторные или инструментальные обследования.
Расшифровка результатов, патологии и норма
Протокол УЗИ ног содержит целый ряд актуальных показателей, характеризующих состояние сосудов.

Кроме этого, в случае применения триплексного метода, диагностируются и затем интерпретируются общие динамические показатели работы сосудов.
Специалист-флеболог исследует:
- магистральные кровотоки крупных сосудов, выступающих как измерительные эталоны. Измененный кровоток может свидетельствовать о значительных аномалиях;
- турбулентность кровотоков, возникающую в суженных местах сосудов;
- коллатеральные кровяные токи, располагающиеся после блокированных участков, свидетельствующие о тромбообразовании.
Образование тромбозов
Процесс образования тромбозов происходит прижизненно, при этом в просветах сосудов появляются кровяные сгустки, называемые тромбами.
Сужая сосудистый просвет, тромбы замедляют кровоток, следствием чего являются гипоксические и ишемические нарушения тканей.
Если тромб перекрывает больше 90% поперечного сечения сосуда, это чревато возможными инфарктами, сопровождаемыми некротической деформацией тканей.
Предпосылками к возникновению тромбов являются заболевания кровеносной системы, патологии сосудистых стенок, нарушения гомеостаза и обмена веществ. В этих случаях тромбозы могут возникать в сосудах разных размеров и локализации, а также в сердечных полостях.
Среди частых причин тромбозов выделяют:
- повреждения различного генеза стенок сосудов;
- аномалии, возникающие в функционировании систем свертывания и противосвертывания;
- нарушения процесса кровотока;
- искажения ритмического рисунка работы сердца;
- повышают вероятность образования тромбозов беременность, курение и малоподвижный стиль жизни;
- венозные тромбозы часто возникают во время авиаперелетов, чему способствуют перепады давления, застойные процессы в сосудах ног, неудобные позы, вызывающие затекание различных частей тела. В случаях варикозной болезни, сердечных заболеваний к длительным полетам необходимо относиться осторожно.

Нормальный кровоток обеспечивается здоровой и гладкой внутренней поверхностью сосудов. При повреждениях стенок кровеносных сосудов активизируется деятельность системы свертывания, что и приводит к тромбообразованию. Так организм, защищая себя, жертвует качественным состоянием сосудистой системы.
Васкулиты и атеросклероз служат причинами тромбообразования нетравматического происхождения. Хирургические манипуляции, инфекции, новообразования злокачественного характера вполне могут сопровождаться возникновением тромбов.
Посттромботическая болезнь
Нередко тромбозы сосудов вызывают посттромботическую болезнь – системную дисфункциональность вен, с высокой вероятностью вызывающую застойные процессы и, как следствие, трофические проявления.
В этих случаях врач акцентирует внимание на просветах вен, определении степени их проходимости и системе клапанов, створки которых как бы залипают на тканях сосудов и слабо визуализируются. Функциональные аномалии клапанов способствуют возникновению разнонаправленного тока крови, что является неблагоприятным фактором.
Таким образом, УЗИ-диагностика выявляет нарушения кровотока, что делает ее особенно актуальной для исследования сосудов малого таза и ног. Если же к этому присовокупить дополнительные возможности дуплексного и триплексного обследований, то получают уникальнейшую диагностическую процедуру, которую крайне полезно использовать и в качестве профилактики.
Что показывает УЗИ вен нижних конечностей Ссылка на основную публикацию


Уздг сосудов нижних конечностей (вен и артерий): как проводится, показания
Вы здесь:
Одним из методов проверки состояния сосудов является УЗДГ нижних конечностей (ультразвуковая допплерография) — процедура, напоминающая простое УЗИ.
Она имеет ряд преимуществ: стоит недорого, результат сканирования с помощью нее четкий и понятный, не доставляет никакого дискомфорта или неприятных ощущений пациенту.
Что это за обследование?
УЗДГ сосудов нижних конечностей (допплерография, допплерометрия, допплеровское сканирование) — это обследование сосудов ног, их состояния, параметров прохождения крови по ним.
В ходе его применений можно выявить патологии сосудов конечностей (тромбы, варикоз) и другие нарушения в системе кровотока.

Принцип действия схож с УЗИ — ультразвуковой аппарат посылает волну, направленную на протекающую в сосудах кровь. Ультразвук, отражаясь от них, формирует определенный рисунок, который выводится на экран.
Таким образом можно просмотреть всю зону возможного поражения, а также четко определить, какова степень поражения и выбрать правильный способ лечения.
Сама процедура абсолютно безболезненна.
Когда и кому назначают?
Из-за того, что методика неинвазивная, диагностика может проводиться у пациентов всех возрастов.

Показания для проведения включают:
- Наличие отеков ног.
- Холодные ступни.
- Боль в икре и чувство «тяжелых ног».
- Судороги.
- Подозрение на изменение сосудов ног (особенно во время беременности).
- Периодическое онемение ног.
- Зуд в ногах, при том что внешних кожных заболеваний не обнаружено.
- Сахарный диабет.
- Снижение тонуса сосудов.
- Подозрение на атеросклероз.
- Подозрение на варикоз или другие изменения венозного кровотока.
- Трофические изменения кожи.
- Сердечные проблемы – стенокардия или инфаркт.
- Мигрени и обмороки.
- Боль при ходьбе или нагрузке.
- Повышенный холестерин.
Также, УЗДГ показано в качестве профилактической проверки для некоторых категорий людей:
- Беременным.
- Людям, старше 40 лет — стоит проверяться раз в полгода-год.
- Людям, в анамнезе семьи которых есть случаи варикозного заболевания вен.
Существуют ли противопоказания?
Противопоказаний к самой процедуре не существует — УЗДГ мало влияет на состояние организма человека, поэтому его применение не ограничивается одной группой пациентов. Беременные и дети также не входят в группу риска при выполнении процедуры.
Ограничения могут касаться только результатов исследования. При некоторых состояниях человека добиться четкой картины не представляется возможным, например, если пациент находится в критическом или тяжелом состоянии (острая стадия болезни), или не отдает себе отчет в том, что происходит (психические расстройства).
Также, не рекомендуется проводить УЗДГ, если кожа ног повреждена — это связано, как с возможной негативной реакцией организма на гель, так и с предполагаемыми неточностями в диагностике.

У некоторых людей есть аллергическая реакция на гель, применяемый во время процедуры. В таком случае, ее проводят с гипоаллергенной субстанцией.
В остальном, допплеровское сканирование показано широкой группе людей.
Что помогает выявить УЗДГ?
Допплерография проводится как для вен, так и для артерий:
Процедура
Какие сосуды просматриваются
Какие характеристики и патологии видны
УЗДГ вен нижних конечностей
Подвздошная, большая и малая подкожные, подколенная, бедренная, передние берцовые, задняя арочная, перфорантные, суральные, поверхностная огибающая подвздошную, тыльная подошвенная дуга, нижняя полая.
- Диаметр просвета.
- Тромбы – их плотность, размеры, структура.
- Скорость течения крови, равномерность или нарушения магистрального кровотока.
- Отсутствие или наличие рефлюкса.
- Состояние стенок сосудов.
- Наличие или отсутствие бляшек при атеросклерозе.
- Присутствие соединений между венами и артериями.
- Клапаны сосудов – их состояние.
- Формы сосудов и их расположение.
УЗДГ артерий нижних конечностей
Все ответвления крупных артерий, большая берцовая, стопы, бедренная, подвздошная.
Данный метод диагностики показывает почти все возможные изменения в состоянии сосудов, в том числе глубоких. И, что немаловажно, позволяет отследить скорость кровотока в нижних конечностях.
Болезни, которые можно выявить при помощи УЗДГ включают:
- Варикозную болезнь.
- Атеросклероз.
- Тромбоз глубоких вен.
- Тромбофлебит
- Другие изменения сосудов в этой локализации.
Требуется ли подготовка?
Предварительной подготовки не требуется, однако рекомендуется:
- Позаботиться о собственной гигиене тела, особенно ног.
- Принести пеленку.
- Надеть удобную одежду, позволяющую легко раздеться или не пережать ногу при закатывании штанины.
Процесс проведения

Эта диагностика проводится так:
Расшифровка результатов и нормы
Изображение, которое получает флеболог, является трехмерным. На нем хорошо можно диагностировать любую патологию кровеносных сосудов конечностей.

Для расшифровки передается протокол исследования, в котором указываются:
Для вен:
- Проходимость.
- Состояние клапанов.
- Топография сегмента.
- Степень нарушения кровотока.
- Состояние стенок: толщина и т.д.
- Бляшки и тромбы: размер, расположение.
Для артерий:
- Лодыжечно-плечевой индекс.
- Пиковая скорость кровотока в бедре и голени.
- Индекс резистентности.
- Пульсационный индекс.
- Тип кровотока: турбулентный, магистральный, измененный, коллатеральный и т.д.
- Наличие сдавливания, аневризм.
- Бляшки и тромбы: размер, расположение.
Если состояние сосудов в норме, в заключении должны присутствовать следующие параметры:
Параметр
Норма
Что значит
Вены
Проходимые, расширений нет, стенки в норме
- Кровь течет по сосудам без препятствий. Тонус не нарушен, сжимаются в нормальном режиме.
- Толщина стенок в норме показывает отсутствие воспаления и патологии.
Артерии
Просветы без сужений
Сужение артерий показывает препятствия для движения кровотока, воспалительные процессы.
Клапаны
Состоятельные
Функции клапанов выполняются полностью, обратного тока крови нет.
Рефлюкс
Нет
Кровь течет без обратного сбрасывания.
Скорость кровотока бедренной артерии
100 м/с (в среднем)
Ускорение или замедление кровотока показывает нарушения в структуре сосудов, их проходной способности.
Скорость кровотока в артериях голени
50 м/с (в среднем)
Бляшки и тромбы
Не выявлено
Внутрипросветные структуры отсутствуют, как и другие включения – кровоток в норме, патологии нет.
Патологические соединения
Отсутствуют
В норме вены и артерии не должны соединяться друг с другом.
Кровоток
Фазный
На выдохе быстрый, на вдохе медленный.
Диагноз ставится в комплексе с другими методами исследования, однако любое отклонение от нормы дает повод подозревать структурные или функциональные нарушения в сердечно-сосудистой системе.
Например, турбулентный тип кровотока показывает стеноз сосудов, а коллатеральный параметр – отсутствие кровообращения ниже определенной точки исследования.
Преимущества и недостатки этого метода
УЗДГ сосудов ног имеет ряд преимуществ перед другими методами исследований. Чаще всего его сравнивают с УЗДС и ЦДК.
Методы исследования
Что значит
Преимущества
Ограничения
УЗДГ
Допплерография – в основе метод Допплера, фиксирующий изменения отражения звуковых волн от эритроцитов.
- Дает выявить скорость кровотока и проходимость сосудов ног.
- Дает зафиксировать в трехмерном изображении, или на видео, движение крови.
- Быстрая процедура.
- Четкие критерии диагностики.
- Низкая стоимость.
Не показывает причины структурных изменений из-за отсутствия визуализации сосудистых стенок.
УЗДС (дуплексное сканирование)
Сочетает эффект Доплера и В-режим – показывает цветовую картограмму кровотока, своеобразный слепок сосуда, его поперечное сечение.
- Дает найти причину снижения скорости тока.
- Визуализирует сосуд.
- Дает изучить окружающие ткани.
- Низкая стоимость.
- Низкое разрешение.
- Возможные помехи при исследовании.
- Ограничение четкости по площади применяемого оборудования.
ЦДК
Триплексное сканирование – по эффекту Доплера, В-режиму и цветной визуализации сосудов.
Высокая точность исследования крупных сосудов.
Оценивается только форма, кровоток и патология крупных сосудов, мелкие не просматриваются или просматриваются плохо.
МРТ
Магнитно-резонансная томография — при помощи магнитных радиоволн создается поле, фиксирующее отклик протонов атомов водорода в теле человека.
- Не повреждает клетки человека.
- Дает четкие послойные снимки конечностей.
- Выявляет воспаления и повреждения.
- Не подходит для пациентов с кардиостимуляторами, излишним весом (больше 120 кг), беременным в первом триместре.
- Дорогостоящая процедура.
- Не показывает скорость кровотока.
- Длительность процедуры (30 минут или больше).
Ангиография
Исследование через введение контрастного вещества.
Позволяет исследовать даже мелкие сосуды.
- Не подходит для пациентов с аллергией на контраст, кардиостимуляторами, беременным на первом триместре.
- Высокая стоимость.
- Не показывает скорость крови.
- Инвазивный метод.
Флебография
Исследование венозного русла с контрастом с применением КТ и МРТ.
Высокая информативность.
- Не подходит для пациентов с аллергией на контраст, кардиостимуляторами, излишним весом, беременным в первом триместре.
- Не показывает скорость кровотока.
- Инвазивный метод.
- Дорогостоящая процедура.
По сравнению с некоторыми другими методами, УЗДГ — абсолютно безопасная процедура, показывающая нарушение кровотока. Она позволяет «поймать» болезнь на таких этапах, когда других признаков еще нет, поскольку анализирует все разветвления сосудов ног.
УЗДС является более полным методом диагностики, основанным на технологии УЗДГ — в дополнение к исследованию кровотока так выявляется анатомия сосудов, структурные изменения в стенках, показываются артерии и вены в разрезе, чтобы оценить ущерб или стадию заболевания.

В сосудистой хирургии эти методы позволяют быстро (в течение 15 минут или меньше) определить причины патологии и необходимые действия для их устранения — например, для удаления опасных тромбов или лапароскопии. УЗДГ дает отметить предоперационную «карту» вен и артерий, облегчая врачу постановку диагноза и определения вида дальнейшего вмешательства.
По отзывам пациентов, УЗДГ и УЗДС вызывают меньше всего беспокойства при диагностике, поскольку процедура простая, не требует введения дополнительных веществ в кровоток или применения габаритной техники.
Также их стоимость намного ниже МРТ-диагностики или диагностики с контрастом, а оборудование для исследования имеется практически в каждом пункте оказания медицинской помощи.
Где делают и стоимость процедуры?
Сделать УЗДГ для профилактики или по направлению врача можно в:
Стоимость УЗДГ редко достигает больше 3000 рублей даже в таких городах, как Москва и Санкт-Петербург. Средняя цена колеблется от 1000 рублей до 2500. В частных лабораториях с новейшим оборудованием стоимость может быть выше.
Если направление выдает лечащий врач-терапевт при подозрении на патологии сосудов конечностей, процедура будет бесплатной по вашему полису. Без полиса или направления, к сожалению, УЗДГ придется оплачивать самостоятельно.
А также цена часто зависит от того, какое именно исследование нужно пациенту:
- Для диагностики только вен или только артерии – в пределах 3-4 тысяч рублей.
- Для диагностики и вен, и артерий – больше 4-5 тысяч рублей.

Дмитриева Юлия (Сыч) – В 2014 году с отличием окончила Саратовский государственный медицинский университет имени В. И. Разумовского. В настоящее время работает врачом-кардиологом 8 СГКБ в 1 к/о. Оцените пользу статьи: (1
Что показывает УЗИ вен нижних конечностей и как оно проводится: подготовка, показания и расшифровка
Возникновение в нижних конечностях болезненных ощущений, тяжести, отеков, зрительно видимых вздутых вен – прямой показатель нарушений работы сосудов.
Следует незамедлительно записаться на прием и консультацию к врачу-флебологу, чтобы избежать усугубления ситуации.
Для выбора правильного лечения и уточнения степени патологии сосудов информативной диагностической мерой будет проведение УЗИ вен нижних конечностей.

Показания к проведению исследования ног
Ультразвуковое ангиосканирование (УЗАС) проводится с профилактической целью людям с малоподвижным образом жизни, лишним весом, стоячей работой.
Существуют прямые показания для проведения УЗИ сосудов нижних конечностей:
- отеки на стопах, голенях;
- возникновение частых парестезий – ощущения покалывания, онемения нижних конечностей;
- расширение венозных сосудов, видимое невооруженным глазом, появление сосудистых звездочек;
- цианотическое изменение цвета кожных покровов области стопы, икроножной мышцы (от коричневого до темно-фиолетового);
- появление трофических язв, длительное заживление после порезов, ран;
- появление слабости в ногах, что ощущается постоянно;
- похолодание нижних конечностей по сравнению с другими частями тела;
- судороги, боли в ногах, возникающие сначала ночью, но позже тревожащие также в светлое время суток;
- другие трофические изменения – исчезновение волос на ногах, кожный зуд без дерматологических патологий, уменьшение в размере голени, появление хромоты.
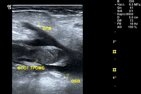
Перечисленные симптомы могут встречаться при варикозе. Для подтверждения этого диагноза прохождение ультразвуковой диагностики сосудов является обязательным. Пренебрежительное отношение к патологии может привести к развитию грозного осложнения – тромбофлебита, ведь образовавшиеся тромбы могут оторваться и закупорить жизненно важный сосуд.
УЗ-обследование поможет врачу при диагностике тромбоза глубоких вен ног, который иногда возникает как осложнение в послеоперационный или посттравматический период.

Подготовка к предстоящему обследованию
Допплерография основана на способности эритроцитов отражать ультразвуковые волны (эффект Допплера).
Серьезной подготовки к УЗДГ сосудов нижних конечностей не понадобится. В экстренных случаях обходятся вообще без нее. Если же обследование планируется заранее, перед тем как пойти, лучше подготовиться, следуя некоторым рекомендациям:
- за 3 дня по возможности не принимать лекарственные средства, которые влияют на системные показатели кровотока, или предупредить врача об их приеме;
- за пару дней не употреблять алкоголь, перед исследованием не курить;
- за сутки исключаются из пищи вещества, стимулирующие работу сердца (кофе, крепкий черный чай, шоколад и другие);
- вымыть ноги, сбрить лишнюю растительность.
Перед прохождением УЗИ не нервничать или принять легкие седативные, ведь лишнее переживание может исказить результат.
Этапы проведения
Следует разобраться, как проводится УЗ-диагностика. После прихода в кабинет человек освобождает конечности для исследования, то есть снимает обувь, а также одежду до трусов. УЗИ нижних конечностей делается в положении стоя, сидя или лежа, порядок изменения позы определяет врач-диагност.
Перед началом место проведения обрабатывается специальным гелем для улучшения сцепления кожи с датчиком для УЗАС. Врач проводит датчиком по определенным зонам. Таким образом он получает изображение вены, регистрирует скорость, направление, интенсивность кровотока, аномалии или закупорку сосуда. УЗИ сосудов ног занимает приблизительно 30–40 минут.
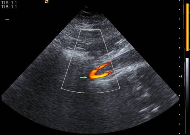
При исследовании используются разные режимы УЗИ системы нижней полой вены. Например, режим цветного допплеровского сканирования (ЦДС) позволяет дать оценку состояния просвета, выявить наличие зоны патологического кровотока.
Для пациентов, которые не могут самостоятельно добраться на процедуру, созданы переносные аппараты, поэтому сделать УЗИ можно на дому.
Существуют разные методы УЗАС ног, отличаются они по количеству функций, которые можно исследовать. Чтобы разобраться, в чем разница, стоит поближе рассмотреть каждый метод УЗИ нижних конечностей.
Ультразвуковая допплерография
Если сделать УЗДГ вен нижних конечностей, это поможет проанализировать степень проходимости сосудов, узнать скорость кровотока.
При помощи УЗДГ сосудов ног проверяют проходимость глубоких и поверхностных вен, дают оценку состояния клапанной венозной системы.
Также УЗДГ вен используют перед тем, как делают плановые операции, ведь такое обследование помогает выявить тромбы, предотвратить тромбоэмболические осложнения.
Ультразвуковое дуплексное сканирование
Этот вариант УЗИ имеет две составляющие – классическая допплерометрия и в дуплексном режиме с цветовым картированием. Кроме определения структуры сосуда, скорости кровотока, УЗДС вен нижних конечностей позволяет определить направление потоков крови, которые под действием ультразвука получают разное цветовое окрашивание.
Показатели, полученные при допплерографии сосудов нижних конечностей, дополняются оценкой состояния стенок вен и артерий, указывают на наличие и размещение тромбов.
С помощью дуплексного сканирования сосудов нижних конечностей врач-сонолог получает более полную информацию о состоянии вены, чем при допплеровском.
Это помогает диагностировать много сосудистых патологий, включая аневризмы, воспаление и пристеночные тромбообразования в сосудах.
Дополнительно смотрите запись трансляции триплексного сканирования сосудов ног:
Расшифровка результатов
В протоколе ультразвукового дуплексного и допплерографического исследования отдельно идет оценка венозного и артериального русла по анатомической схеме расположения магистральных и периферических сосудов.
В заключении протокола могут указываться УЗИ-признаки таких заболеваний:
- варикозное расширение вен;

- атеросклероз сосудов нижних конечностей;



- диабетическая ангиопатия и др.

В норме вены на УЗИ имеют эхонегативный просвет, без тромбов и атеросклеротических бляшек. Стенка сосуда тонкая, без утолщений и уплотнений. В полости вены видны створки клапанов (толщина 0,9 мм), на вдохе они прижимаются к стенке вены, а на выдохе пережимают ее.
Нормальный кровяной поток направляется из поверхностных вен в глубокие. Во время триплексного сканирования (триплекса) с цветным картированием кровоток окрашен в синий цвет.
Если имеется варикоз, нарушается работа венозных клапанов, что способствует обратному току крови. Как следствие, кровоток на мониторе будет красного цвета.
На экране прибора для УЗИ в норме просветы сосудов системы НПВ выглядят темными, а стенки – светлыми. При атеросклерозе, тромбофлебите, к примеру, видны сужения вен, деформации, преграды, уплотнения стенок. Из-за своей плотной структуры они также будут окрашены в более светлый цвет.
Оценивается несколько показателей артерий ног, что показывает патологические изменения в них:
- ЛПИ (лодыжечно-плечевой комплекс) – отношение систолического АД на лодыжке и плече (в норме 0,9 и выше; если ниже показателя, это признаки ишемии или стеноза);
- скорость кровотока – измеряется в см/секунду (норма, отдельная для всех артерий);
- индекс периферического сопротивления (резистентности) – измеряют на бедренной артерии, норма от 100 см/сек. и выше;
- индекс пульсации, что показывает проходимость просвета артерии, нормальный показатель от 180 см/сек. и выше;
- отношение средней и внутренней оболочки сосудов (толщина интима-медиа), должна быть от 0,9 до 1,1 мл.
Срок годности результатов исследования от 6 до 12 месяцев, это зависит от диагноза, прогрессирования болезни.
Смотрите видообзор варикоза ног:
Противопоказания для проведения
УЗИ нижних конечностей не имеет ограничений по возрасту или состоянию здоровья. Его можно проводить при беременности, в детском возрасте.
Но если у пациента имеются повреждения кожных покровов нижних конечностей раневым, ожоговым или инфекционным процессом, дуплексное сканирование артерий и вен стоит отложить до заживления пораженных участков.
Где сделать и сколько стоит УЗИ
Чтобы сделать УЗИ нижних конечностей, нужно записаться в диагностический центр (например, «Гемотест», «Столица», «Медлайн» и др.). Эти учреждения имеют нужное техническое оборудование, а также квалифицированных врачей-сонологов. По полису ОМС и направлению лечащего врача УЗИ нижних конечностей можно сделать бесплатно в поликлинике по месту регистрации.
В зависимости от города ценовая политика УЗИ имеет примерно такие показатели: Москва – 2 000–20 000 руб., Санкт-Петербург – 600–5 000 руб., Екатеринбург – 700–3 000 руб., Иркутск – 800–2 500 руб.
Если возникли вопросы или имеется интересный личный опыт, поделитесь ими в комментариях. Делайте репост записи. Всего доброго.
Обследование вен нижних конечностей методом УЗИ: описание процедуры и показания к проведению

С каждым годом все большее количество людей страдают нарушениями венозного оттока в сосудах нижних конечностей. Однако лечение данной патологии не всегда осуществляется должным образом, все дело в качестве обследования пациента. На сегодняшний день самым востребованным методом выявления различных проблем с кровообращением в артериях и венах является ультразвуковая диагностика. Данное исследование становится все более доступным, оно проводится во многих государственных и частных клиниках страны, считается абсолютно безопасным и очень информативным.
Качественное УЗИ вен нижних конечностей позволяет обнаруживать признаки заболеваний на ранних стадиях и оценивать эффективность лечения без применения инвазивных вмешательств и лучевой нагрузки на пациента. О методе, показаниях и способе проведения процедуры поговорим подробнее.
Суть метода и его разновидности

Принципы ультразвуковых исследований основаны на анализе отраженных низкочастотных волн. Аппарат испускает ультразвук, который неодинаково отражается от тканей разной плотности и от перемещающихся объектов. Специальные датчики регистрируют волновые колебания, а компьютерные программы обрабатывают сигналы, показывают исследуемые кровеносные сосуды и строят графические изображения кровотока.
Современные ультразвуковые аппараты способны преобразовать полученные сигналы в цветные картинки, которые воспроизводятся на экране монитора. Наполнение артерий или вен кровью можно не только увидеть, но и услышать в виде шумов разной интенсивности.
Для выполнения УЗИ сосудов конечностей используется специальная приставка для создания эффекта Допплера, основанного на способности ультразвука изменять частоту и длину волны параллельно скорости кровотока. Поэтому исследование именуется допплерографией.
Существует два основных вида этого метода:
- Стандартная или двухмерная допплерография
Проводится звуковая и графическая регистрация кровотока внутри сосудов. На выходе получается серая картинка действительной работы вены или артерии. На основании полученного в реальном времени изображения можно сделать выводы о характере кровоснабжения исследуемой области.
Данный метод УЗИ сосудов ног больше подходит для диагностики поражения артерий нижних конечностей. Его преимуществами является простота выполнения, а также возможность проведения у постели лежачего больного с помощью переносных приборов.
Проводится на цифровой аппаратуре, позволяет получать изображение сосудов, оценивать скорость и направление кровотока в них. Этот метод сочетает серый режим обычного УЗИ с цветовым допплером. Он является очень информативным, точным, доступным для пациента и используется в настоящее время чаще всего.
Проводится с импульсным допплером, что делает возможным получение цветного 3D изображения. Кровоток в артериях показывается красным, в венах – синим цветом. Интенсивность окрашивания зависит от скорости передвижения крови.
Наиболее востребованным в настоящее время является метод дуплексного сканирования. Какую патологию он позволяет обнаружить:
Трудно переоценить значение УЗИ нижних конечностей в диагностике нарушений артериального кровообращения, в частности таких заболеваний, как:
- атеросклероз;
- облитерирующий эндартериит;
- аневризмы сосудов ног и т. д.
Показания к проведению УЗИ
Несмотря на безопасность такое исследование, как УЗИ вен на ногах, должно проводиться по направлению врача. Основанием для проведения процедуры могут служить видимые на глаз клинические проявления или жалобы пациента, например:
- варикозное расширение поверхностных вен;
- подозрение на тромбоз глубоких вен (выраженный отек ноги с одной стороны, болевой синдром, повышенная температура);
- пигментация кожи на ногах, отеки голеней и стоп, появление плохо заживающих язвенных дефектов,
- судороги, онемение в мышцах голени;
- постоянно холодные бледные стопы с синюшными пальцами;
- боли в ногах, особенно по вечерам.
УЗИ вен нижних конечностей обязательно проводят в период подготовки к операции для маркировки нужных кровеносных сосудов, а также для контроля эффективности проведенного лечения.
Данную процедуру делают в качестве профилактики заболеваний у людей с семейной отягощенностью по варикозной болезни, при тяжелой физической работе, у людей, страдающих сахарным диабетом, гипертонической болезнью.
Кроме показаний существуют противопоказания для выполнения допплерографии ног:
- острые инфекционные и воспалительные заболевания;
- наличие открытых повреждений, ожогов, кожных заболеваний;
- тяжелые заболевания, требующие оказания неотложной помощи;
- психические расстройства.
Трудности при выполнении УЗИ обеих конечностей могут возникнуть при ожирении высокой степени, выраженном лимфостазе, значительном вздутии живота. Такие ситуации не позволяют получить достоверную информацию из-за ограниченного доступа к исследуемой зоне.
Подготовка и проведение

Для обследования вен нижних конечностей методом УЗИ специальной подготовки не требуется. Пациент приходит к назначенному времени в чистой верхней и нижней одежде, в некоторых медицинских учреждениях просят принести с собой простыню и сменную обувь. Начинается все с опроса больного и выяснения жалоб. Пациент должен снять одежду с нижней части тела, кроме белья.
Процедура проводится сразу на обеих конечностях, длится около 40-45 минут.
Как делают УЗИ вен технически? Обычно врач проводит исследование сверху вниз по направлению от крупной нижней полой к подвздошным венам, затем к поверхностным и глубоким бедренным, подколенным венам и так до стопы.
Процедура выполняется сначала в горизонтальном положении тела с последующим переходом в вертикальную позицию. Таким способом моделируются условия повышенного гидростатического давления, действие которого больше всего испытывают вены голени.
Что показывает УЗИ? Оценивается проходимость вен, состояние клапанов, наличие тромбов, состояние окружающих тканей. Степень визуализации во многом зависит от комплекции человека. Одновременно идентифицируется расположенные рядом артерии. Проходимость сосуда определяется компрессионной пробой – нормальный сосуд после надавливания датчиком хорошо смыкается.
Для оценки состоятельности клапанов используется проба Вальсальвы – пациента просят сделать глубокий вдох и напрячь брюшной пресс. Если при вдохе кровоток отсутствует, а при выдохе кровь устремляется в правильном направлении, то заслонка работает хорошо. Такая проба позволяет диагностировать посттромбофлебитический синдром – разрушение клапана после ликвидации тромба.
После обследования вен нижних конечностей методом УЗИ расшифровка результатов проводится лечащим врачом. Диагноз ставится на основании совокупности клинических данных, жалоб больного и данных обследования.
На качество исследования влияет квалификация врача и возможности оборудования. Поэтому к тому, где можно сделать УЗИ сосудов нижних конечностей, необходимо отнестись ответственно.
Лучше в специализированном флебологическом центре или клинике с накопленным опытом проведения подобных исследований.
Объяснение развития варикозного расширения вен

Человек живет благодаря постоянной циркуляции крови – от сердца она несет кислород ко всем органам и тканям по артериям, обратно возвращается с углекислым газом по венам. Отличительной особенностью венозной системы является наличие в сосудах специальных приспособлений (полулунных заслонок или клапанов), которые противостоят ретроградным (противоположным) течениям. Створки открываются только под давлением текущей к сердцу крови и закрываются при образовании обратных потоков. Больше всего клапанов в дистальных (самых низких) отделах конечностей, по мере продвижения к верху их количество уменьшается. От нормальной работы клапанного аппарата зависит обеспечение центростремительного тока крови в направлении сердца.
Венозная система обладает значительно большей вместимостью по сравнению с артериальной, она способна резервировать примерно три четверти всей крови в теле человека. Это связано с большим количеством сосудов, которые располагаются в два уровня и делятся на поверхностные и глубокие вены, между собой они сообщаются через перфорантные капилляры.
Венозные сосуды в отличие от артерий имеют больший диаметр, их стенка более тонкая и менее эластичная, поэтому они способны к легкому растяжению и депонированию значительных объемов крови в условиях повышенного давления.
Этим объясняется развитие варикозного расширения вен и хронической венозной недостаточности, особенно часто возникающей в сосудах нижних конечностей.
В последние годы отмечается явная тенденция к омоложению сосудистой патологии, что связано с особенностями жизни современных людей (гиподинамия, неправильное питание, вредные привычки) и отягощенной наследственностью.
В связи с высокой социальной значимостью и риском развития грозных осложнений большое значение придается ранней диагностике заболеваний вен нижних конечностей. В этом отношении ультразвуковой метод является незаменимым, не имеющим аналогов.















































